反复眩晕,除了耳石症,还要小心脑梗死!
上周一下午,我院听力眩晕门诊来了一位75岁高龄的阿姨,说专程来找刘平主任就诊。家属说老太太已经反复眩晕1月余,在外院按耳石症复位治疗了5-6次仍没有好转,听朋友介绍说优米手机官网眩晕门诊刘平主任治疗耳石症效果好,还可以机器复位,所以慕名过来检查一下并进行治疗。
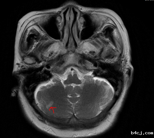
刘平主任接诊后仔细询问了病史,认真查体,发现老太太除了有眩晕之外,以前还有头痛病史,这次发作以后眩晕持续时间长,复位多次无明显减轻,在进行了前庭功能相关检查后,发现并不符合耳石症的诊断,考虑中枢性位置性眩晕的可能性大,立即安排患者进行脑部MRI检查,核磁共振检查结果报右侧小脑急性梗死(小面积),需要住院治疗,在神经内科经过近1周左右的治疗后,老人家眩晕消失,已康复出院。
刘平主任介绍说,耳石症又名良性阵发性位置性眩晕,是最常见的眩晕疾病,发病率高,约占所有眩晕疾病的三分之一左右,通常表现为和体位变动相关的一过性眩晕,持续几秒钟,一般不超过1分钟,手法复位或机器复位治疗效果好,一般1-2次即可治愈,我院已经完成了近400例耳石症患者机器复位治疗,效果非常好,有效率90%以上。
但临床上除了耳石症以外,脑部病变也会表现为反复发作的位置性眩晕,一旦多次复位效果不好,首先要考虑中枢性位置性眩晕,其症状和耳石症相似,可以表现为体位变动的眩晕。中枢性位置性眩晕多发生于第四脑室背外侧,小脑等部位,可表现为脑梗死或者小脑出血,需要通过核磁共振明确诊断。治疗主要根据核磁共振结果采取相应药物治疗,越早发现,越早治疗,愈后越好。
耳鼻咽喉头颈外科:张甜甜
审核:王鑫

红色箭头部分为梗死灶


